“在此我首先要感激诺亚康吉国际医疗提供的服务!在某种意义上救了我父亲一命。”岑女士说。
腿疼, 受凉?
我父亲65岁, 他身体一直很好,可是不知为什么突然大腿肌肉感到疼痛无力,走路没事,可是坐在凳子上要站起来需要好多次努力才能站起来,坐在车里也需要人拉一把才能出来。托人找到主任医生做了全身体检,说是一切指标都正常,又到神内检查关节,肌肉反应,还做了骨骼检查都没有问题,最后医生的结论是受凉了,开了些止痛说注意保暖我们就回来了。
爸爸吃了止痛药虽说感觉好点了可是看得出来他的腿还是痛,我们建议他再去别的医院看看,可他说疼痛没有加剧,观察一段再说吧,我们就没有再劝他。过了一个月左右腿忽然不痛了,好了!我们全家都很高兴就没有再多加关注。
再犯
可是几个月以后我爸爸的腿突然又痛了,症状跟以前一样。这是第二次犯,他重视了些,去了好几个医院做了各种检查,结果折腾半天还是没有查出病因。 后来我爸爸的朋友中医院院长说来我们医院吧,看看中医是不是管用,结果去了中医院又是按摩,又是洗药澡,又是热敷,又是烤电,前前后后住院出院一年左右,他的腿也是好了又痛,痛了又好,因为不知道病因, 无法对症下药,可是该试的都试了,中药也吃了, 总之出院时是不痛了。
病情恶化发展到脑子里
大约又过了半年的时间,爸爸又出现了新问题,到不是身体上有什么不适,腿也没有再痛,
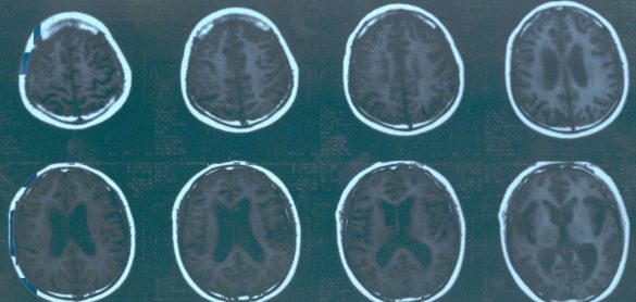
而是脾气变得很不好,一会烦躁不安,一会儿又情绪低落抑郁,大家都以为他是太累了,单位安排他去一个清净的地方疗养。疗养期间,有一天他正与一个来看他的学生下棋,突然之间就昏倒在棋桌上。救护车送到医院后做了一个全脑CT检查,结果发现脑子大面积发炎(见上图),这么大面积的炎症,医生给注射了大量抗生素,可是出乎所有人意料炎症一点没有消!
这下我们慌了,怎么办?爸爸的病好好坏坏已经拖了两年了,鉴于爸爸的职位, 单位一直非常关心,
国内最好的医生,最好的医院都看遍了,虽然没查出病因,
腿痛好好坏坏还能过得去,现在脑子里发炎,而且抗菌素都不管用……最后在走头无路的情况下我们才想到也许应该去国外看看是不是有什么特效药。
麻省总院的的远程诊断及治疗方案
几经周折我们找到了诺亚康吉国际医疗,鉴于我父亲无法长途旅行的情况,诺亚康吉建议找个美国的好医院做个第二诊断,看看他们是否能够给出新的治疗方案。在诺亚康吉的帮助下,我们联系了麻省总院,寄去了我爸爸的所有病例,两三天以后就得到回应,本以为会看到一个诊断书,可是没有,麻省总院的医生说没有活检检测没法做出诊断,建议做个活检看看是什么原因造成的脑子里的炎症。
活检属于介入医疗,特别是在脑子里,国内医院不愿意做,患者的职位越高医院就越不愿做,怕负责任。母亲也不愿做,
她听说活检是要在脑子里取一块组织,吓得要命,怕是做完就傻了,可是麻省总院坚持没有活检报告就不能做出诊断。为此我们咨询了很多专家,还专门请专家做我母亲的思想工作,
告诉她活检取出的组织很小, 属于微创,而且我们脑子里有些部位部位是没有明确功能的,不会变傻,也很安全。
当时我爸爸的情况已经非常危险,说话都不清楚了,妈妈也顾不了那么多了,终于同意了。鉴于医院怕追责的考虑,我们全家都签了保证书说是一切活检的后果全部由我们自己负责才得以让医院安排做活检。
结果手术很简单,一个小时就结束了,我爸爸好像也没有什么痛苦。
活检结果传到麻省总院很快诊断报告就来了,说是自身免疫造成的炎症! 这一来也就解释了为什么打了那么多抗菌素而没有 效果的原因了,炎症不是细菌,也不是病毒造成的,是自身免疫造成的! 麻省总院提供了治疗方案,其中最主要的一条就是要用大量的激素把炎症压下去,然后再递减。用激素治疗又是一个难题, 咱们中国不习惯用激素治疗, 特别是那样大的剂量, 而麻省总院却说如果用量不够,压不下去还可能产生抗药性……最后在诺亚康吉的帮助下我们把美国医生直接接通了我爸爸在北大医院的主治医生,他们商量确定了用药剂量及其治疗方案。
痊愈出院
激素一上立竿见影, 接下来的CT检测就看到脑子里的炎症已经消减! 原来CT片子因炎症都变白了,现在居然正常了! 脑子里的炎症消了,身体其他部位本来就没有问题,人很快就恢复正常并且出院了。回去以后爸爸常说的一句话就是:太感谢麻省总院了, 真是神了,一用药就好了,真是神了!也感谢王主任,要不是他懂英语,也没法和麻省总院合作呀!
我们做儿女的经过了整个过程也是感慨万分,眼看着爸爸就快不行了, 没想到还会这么快的起死回生, 又回到我们身边! 最神奇的就是一下药,眼看着炎症就消了! 看来能够做出正确的诊断太重要了, 要不是当时麻省总院坚持做活检,要不是我们都在风险自负书上签字,要不是我们中国也有像王主任一样的医生,爸爸可能早就不在了。
我们写出此文同意给诺亚康吉放在他们的网站上,一是想以此感谢他们周到优质的服务,没有他们的帮助我们无论如何都不可能这样快就找到麻省总院; 还有就是想通过诺亚康吉这个平台让其他患者知道到美国去寻求第二诊断也许能够救命。
后续: 后来推测当时父亲双腿肌肉有时痛有时不痛大概也是自身免疫造成的,因为自身免疫的问题很多时候就是好好坏坏, 想想当时要是到美国检测一下,或是像后来一样到美国医院做个远程诊断,当时就对症下药,也许炎症就不会发展到脑子里。
